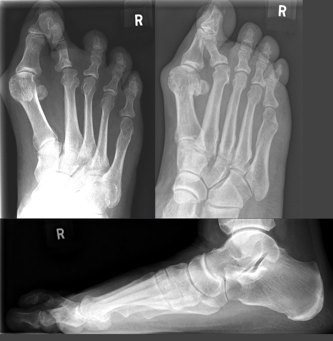
l’hallux valgus

l’hallux valgus

Soyez le premier à commenter

Poster un Commentaire